Czego szukasz?
Gdzie szukać?
na stronach GUMed
w tym serwisie
Szukaj
Gdański Uniwersytet Medyczny
EN
Przetargi
Eduroam
eDziekanat
Extranet
Poczta
Biblioteki
A
A
EN
Uczelnia
Wydziały
Kandydaci
Studenci
Doktoranci
Absolwenci
Nauka
i Innowacje
Rozwój
i współpraca
Działalność
lecznicza
Czego szukasz?
Gdzie szukać?
na stronach GUMed
w tym serwisie
Szukaj
Gdański Uniwersytet Medyczny - Facebook
Gdański Uniwersytet Medyczny - Instagram
Gdański Uniwersytet Medyczny - Twitter
Gdański Uniwersytet Medyczny - Youtube
Gdański Uniwersytet Medyczny - LinkedIn
Gdański Uniwersytet Medyczny - Facebook
Gdański Uniwersytet Medyczny - Instagram
Gdański Uniwersytet Medyczny - Twitter
Gdański Uniwersytet Medyczny - Youtube
Gdański Uniwersytet Medyczny - LinkedIn
Start
Aktualności
Aktualności
Aktualności
Start
Aktualności
Aktualności
Rozwiń
Aktualności
Aktualności
5.03.2024
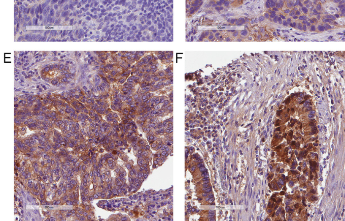
Publikacja nt. podwyższonej ekspresji czynnika dopełniacza I w komórkach raka płuc
29.02.2024
Kurs Biostatystyki
21.02.2024
Publikuj po mistrzowsku – cykl szkoleń
16.02.2024
Doktoranci GUMed na konferencji EORTC
15.02.2024
Spotkanie Zespołu Badawczego II Tumour microenvironment, microbiome and immunooncology
5.02.2024
Schemat Hop-On Facility Horyzont Europa – spotkanie informacyjne
2.02.2024
Podsumowanie wykładu "Functional mapping of cancer to optimise diagnostics for lung and breast cancer"
2.02.2024
Dr Savani Anbalagan z wizytą w GUMed
30.01.2024
Podsumowanie wykładu dr. Kurschusa
29.01.2024
Doktor Savani Anbalagan – wykład otwarty
19.01.2024
"Functional mapping of cancer to optimise diagnostics for lung and breast cancer" – wykład otwarty
21.12.2023
Doktor Florian Kurschus – wykład otwarty
...
2
3
4
5
6
7
8
9
10
...